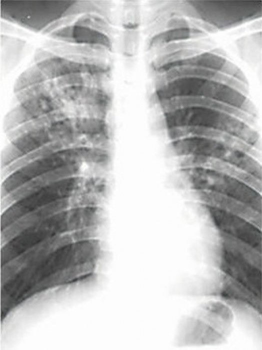
中国の結核患者数は世界2位、毎年100万人が発症―中国メディア

24日、世界結核デーを迎え、専門家は注意を呼び掛けている。結核は、空気感染が多く、肺などの呼吸器官においての発症が目立つ感染症だ。中国は結核患者数が世界で2番目に多い。

関連記事



   



   

we`re

RecordChina

お問い合わせ

Record China・記事へのご意見・お問い合わせはこちら

お問い合わせ

業務提携

Record Chinaへの業務提携に関するお問い合わせはこちら

業務提携